THE NORMAL OVARIES

 

ANATOMY

  • Posterior to broad ligament.
  • Anterior to iliac vessels and ureter.
  • Inferior to uterine tube.
  • Held in place by ovarian ligaments and infundibulopelvic (suspensory) ligaments.
  • Blood supply:
    • Adnexal branch of uterine artery and an ovarian branch, which runs through the infundibulopelvic ligament.
  • Almond shaped paired structures on either side of uterus.
  • Size of ovaries is related to patients age and phase of follicular development.
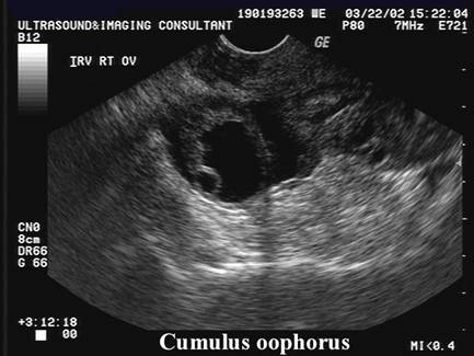
  • Low-level echo pattern interrupted by anechoic areas that represent developing follicles, functional cysts or corpora lutea.
  • Usually found lateral to uterus, but it may be found in other locations due to the flexibility of the round ligament.
  • Landmarks:
    • Anterior to internal iliac artery.
    • Ovarian artery entering superior pole.
    • Echo pattern with follicles.

 

 

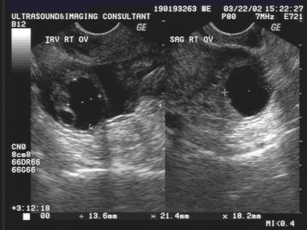
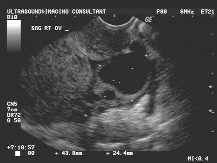
Sagittal views of left and right ovary

Transverse views of left and right ovaries

Fimbrae

 

 

 

OVULATION

 

 

Nakata et al. (1), studying the corpora lutea in postreproductive but premenopausal women undergoing hysterectomy, proposed that an ultrasound investigation of the CL in the mid-luteal phase should use the following criteria to classify it into one of four types:

  • Type A, hypoechogenic central part with wall of < 3 mm;
  • Type B, hyperechogenic central part with wall of < 3 mm;
  • Type C, hypoechogenic central part with wall of 3 mm;
  • Type D, hyperechogenic central part with wall of 3 mm.

These authors showed a relationship between the ultrasonographic pattern and hormonal milieu, and indeed, the finding of a hypoechogenic central region with a thin wall (< 3 mm) may indicate corpus luteal insufficiency since significantly lower serum progesterone levels were found in women with this type of CL.

Backstrom, Nakata and Pierson, in 1994 (2), stated that, the ultrasonographic evaluation of the CL could add a tremendous amount of potentially useful information.

Nakata during the 1992 study, were able to demonstrate that transvaginal ultrasonography, in combination with intraovarian color Doppler flow measurements, is a simple and reliable method to evaluate the size and vascularization of the human CL (3).

Baerwald et al (4) characterized changes in luteal form and function using serial transvaginal ultrasonography, gray-scale imaging and analysis of serum hormonal patterns. The hypothesis that changes in luteal morphology and endocrine secretion would be detected during the interval between two subsequent ovulations seems to be supported.

Two morphological types of CL were observed following ovulation:

·         with a central fluid-filled cavity (CFFC) (78%),

·         without a central fluid-filled cavity (CFFC).

The incidence of corpora lutea containing a CFFC was greatest immediately following ovulation and then subsequently declined. Prior to this study, the physiological significance of the cystic cavities has not been well-documented. CFFCs were attributed to the chance occurrence of follicle rupture across a vascular component of the follicle resulting in leakage of blood into the follicular lumen. Measurements of the luteal area, defined as the area between the external border of the CL and the internal border of the CFFC, and luteal numerical pixel value (NPV) were the main outcome measures of the study. Luteal area seems highly correlated with progesterone concentrations during the interovulatory interval (IOI). Luteal area and estradiol concentrations, however, were not as strongly correlated. The regressing CL was present in the follicular phase but it did not appear to be functional as indicated by basal levels of serum progesterone and estradiol. This study investigated also the quantitative changes in luteal echotexture that seems reflective of changes in the morphological and physiological status of the CL in women. A decrease in luteal NPV occurred during luteal development in association with an increase in luteal area, progesterone and estradiol concentrations, while the subsequent increase in NPV during luteal regression occurred in association with a decrease in luteal area, progesterone and estradiol concentrations (4). Decreased NPV during luteinization was attributed to increased vascularization of luteal tissue and a corresponding decreased tissue density (4). Increased NPV during luteolysis was attributed to decreased vascularization and replacement of luteal tissue with fibrous connective tissue, reflective of increased tissue density. Unfortunately, in the present study, it was not possible to prove this theory because color Doppler evaluation was not reported (4).

 

 

 

 

 

The proximal thecal arteriole, also called the helical arteriole of the CL, which can be easily identified by power Doppler and which has a reproducible peak systolic velocity (PSV) obtainable on pulsed Doppler imaging has been investigated (5,6).

Parsons (7), this vessel is responsible for feeding the CL and is characterized by high velocity flow and a higher PSV in comparison with luteal peripheral vessels. Recent data support the concept that blood flow into the CL reflects function, i.e. progesterone production. As suggested by Parsons (7), it has been shown that a simultaneous drop in arteriolar PSV and serum progesterone at 8 weeks of pregnancy that mirrors a similar effect in the fourth week of the menstrual cycle unless pregnancy intervenes (5).

 

 

REFERENCES

 

 

1.      Nakata M, Selstam G, Olofsson J, Backstrom T. Investigation of the human corpus luteum by ultrasonography: a proposed scheme for clinical investigation. Ultrasound Obstet Gynecol 1992; 2: 190-196.

2.      Backstrom T, Nakata M, Pierson RA. Ultrasonography of normal and aberrant luteogenesis. In Imaging in Infertility and Reproductive Endocrinology, Jaffe R , Pierson RA , Abramovwicz JS (eds). Lippincott-Raven: Philadelphia, PA, 1994; 143-154

3.      Ottander U, Solensten NG, Bergh A, Olofsson JI. Intraovarian blood flow measured with color Doppler ultrasonography inversely correlates with vascular density in the human corpus luteum of the menstrual cycle. Fertil Steril 2004; 81: 154-159

4.      Baerwald AR, Adams GP, Pierson RA. Form and function of the corpus luteum during the human menstrual cycle. Ultrasound Obstet Gynecol 2005; 498-507

5.      Guerriero S, Ajossa S, Lai MP, Risalvato A, Paoletti AM, Melis GB. Clinical applications of colour Doppler energy imaging in the female reproductive tract and pregnancy. Hum Reprod Update 1999; 5: 515-529.

6.      Guerriero S, Ajossa S, Melis GB. Imaging the human corpus luteum. J Ultrasound Med 2001; 20: 1376-1377.

7.      Parsons AK. Imaging the human corpus luteum. J Ultrasound Med 2001; 20: 811-819.