|
ULTRASOUND OF CALLOSAL AGENESIS -
Complete agenesis -
Partial agenesis |
The corpus callosum is a thin band of white matter, which is difficult to
demonstrate sonographically. It is only well visualized on mid-sagittal or
mid-coronal views of the brain and requires optimal angles of insonation to
demonstrate.
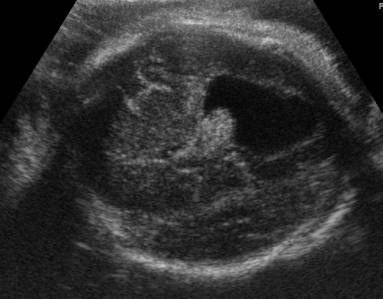
COMPLETE AGENESIS OF THE CORPUS CALLOSUM |
|
|

|
|
Interhemispheric cyst,high-riding 3rd ventricle |
|
|
Sunburst appearance of gyri |
|
|
Interhemispheric cyst,high-riding 3rd ventricle |
|
|
Colpocephaly |
|
|
Interhemispheric fissure adjoins the 3rd ventricle |
|
|
Colpocephaly (dilatation of the occipital horn of the
lateral ventricle). |
|
|
|
|
|
|




|
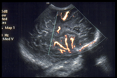
Callosal Agenesis – absent cingulated gyrus and pericallosal artery |
Normal Corpus Callosum – normal pericallosal artery |
|
|
|
|
|
|

|
Normal cingulate gyral pattern. |
Dysgenesis of the cingulate gyrus with characteristic radial
orientation of the sulci |
|
|
|
|
Normal corpus callosum, pericallosal (PC) and
callosomarginal (CM)arteries. |
Agenesis of the corpus callosum with a
"sunburst" gyral pattern and non visualization of the pericallosal
or callosomarginal arteries |
|
|
|
|
Postnatal MRI scan |
|
|
|
|
Etiology:
o
Lipoma
or interhemispheric cysts (preventing the progression of callosal axons as they
are median structures) (7).
o
Late
remodelling abnormality of callosal connections causing thinning of the corpus
callosum may occur in utero or even at birth after severe asphyxia.
o
Prenatal
ultrasound examination can usually diagnose CACC from 22 weeks onwards
(8).
o
Absence
of the cavum septi pellucidi, upward displacement and enlargement of the third
ventricle
o
Enlarged
occipital horns (colpocephaly) of the lateral ventricles,
o
separated
and enlarged anterior horns,
o
enlarged
interhemispheric spaces are the key indirect signs of CACC.
o
Color
Doppler can also show the loss of the semicircular loop of the pericallosal
artery (8)
PARTIAL AGENESIS (DYSGENESIS) OF THE CORPUS CALLOSUM |
The caudal portion of the corpus callosum (splenium and body) are missing to various degrees.
Partial agenesis affects
only the posterior part of the corpus callosum.
o Indirect signs are lacking and prenatal diagnosis is therefore more difficult (9).
o Hypoplasia occurs as a result of late destruction of the corpus callosum (10) owing to a metabolic, infectious or ischemic origin.
|
Amino acid metabolism |
non-ketotic hyperglycinemia |
|
maternal phenylketonuria |
|
|
methyl malonic acidemia |
|
|
Mitochondrial |
pyruvate dehydrogenase
deficiency |
|
pyruvate decarboxylase deficiency |
|
|
fumarase deficiency |
|
|
Peroxisomal |
Zellweger syndrome |
|
Refsum syndrome |
|
|
adrenoleukodystrophy |
|
|
Other metabolic |
glutaric acidemia |
|
congenital disorder of
glycosylation |
|
|
3-hydroxyisobutyric aciduria |
|
|
Ante or postnatal ischemic |
necrotizing enterocolitis |
|
severe birth asphyxia |
|
|
antenatal cerebral vascular
infarction |
|
|
fetal toxoplasmosis or rubella |
|
|
Chromosomal |
trisomy 8, 13, 18, 21 |
|
Other syndromes |
Menkes syndrome |
|
Smith-Lemli-Opitz syndrome |
|
|
Shapiro syndrome |
|
|
fetal alcohol syndrome |
|
|
acrocallosal syndrome |
|
|
septo-optic dysplasia |
|
|
ectodermal dysplasia |
|
|
Other cerebral |
defect of gyration pattern,
microgyria |
|
microcephaly |
|
|
anomaly of cerebral white matter |
|
|
cerebellar dysplasia |
|
|
interhemispheric cyst |
|
|
Paupe A, Bidat L, Sonigo P et.al. Prenatal diagnosis of
hypoplasia of the corpus callosum in association with non-ketotic
hyperglycemia.
Ultrasound Obstet Gynecol 2002;20:616-619 |
|
REFERENCES |