|
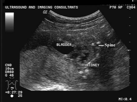
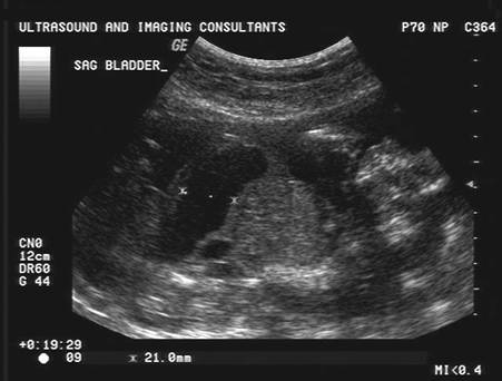
URETHRAL ATRESIA
MURCS ASSOCIATION
|
MURCS association is a rare, lethal constellation of unusual non-random
findings that include (1-2):
- Mullerian duct aplasia.
- Renal aplasia.
- Cervicothoracic somite
dysplasia.
Link to Pathogenesis
- Female fetus.
- Massive cystic umbilical
cord (which may involve the entire cord) due to a patent urachus.
- Enlarged bladder (which
does not appear to change during the scan suggesting urethral
obstruction).
- Bladder opened through the
anterior abdominal wall via a patent urachus.
- Single kidney or severely
dysplastic kidney (2).
- Urethral obstruction /
atresia (2).
- Oligohydramnios.
- Uterus and fallopian tubes
may be normal, hypoplastic or atretic.
- Vertebral anomalies e.g.
hemivertebrae.
- Occipital encephalocele.
Severe
urethral stenosis
- Female fetus.
- Megacystis.
- Megaureter.
- Renal obstruction.
- Oligohydramnios.
- “Prune-belly”
secondary to urinary obstruction.
|
|

|

|
|

|

|
|
VACTERL versus MURCS association
|
|
|
VACTERL
|
MURCS
|
|
Mullerian duct failure
|
-
|
+
|
|
Vertebral defects
|
+
|
+
|
|
Limb abnormalities
|
+
|
+
|
|
Anorectal anomalies
|
+
|
-
|
|
Renal defects
|
+
|
+
|
|
Cardiovascular anomalies
|
+
|
-
|
|
Tracheo-esophageal anomalies
|
+
|
-
|
- Duncan PA, Shapiro LR,
Stangell J et.al. The MURCS association: Mullerian duct aplasia, renal
aplasia, and cervicothoracic somite dysplasia. J Pediatr 1979;95:399.
- Fernandez CO,
McFarland RD,
Timmons C et.al. MURCS association: Ultrasonographic findings and
pathologic correlation. J Ultrasound Med 1996;15:867-870.
- Colavita N, Orazi C,
Logroscino C et.al. Does MURCS association represent an actual non-random
complex of malformations? Diagn Imaging Clin Med 1986;55:172.
- Greene RA, Bloch MJ, Huff
DS et.al. MURCS association with additional anomalies. Hum Pathol
1986;17:88.