ENLARGED BLADDER 

 

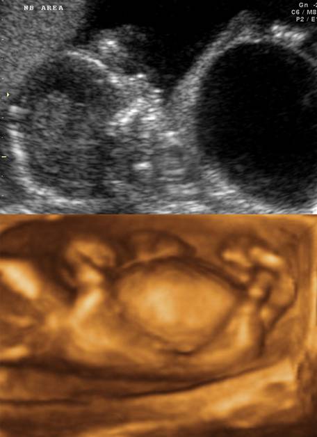
Fetal megacystis at 15 weeks of gestation.

Trisomy 18.

Note the clubbed hands.

 

 

 

 

 

 

 

 

 

 

 

 

DIAGNOSTIC CRITERIA

 

Link to Diagnostic Criteria

 

 

PROGNOSIS / OUTCOME

 

Link to Prognosis / Outcome

 

 

ETIOLOGY

 

  1. Posterior urethral valves.
  2. Non obstructive megacystis.
  3. Urethral stricture / atresia.
  4. Patent urachus.
  5. Prune-Belly syndrome.
  6. MURCS Association.
  7. Megacystis-microcolon-intestinal hypoperistalsis syndrome.

 

ASSOCIATED CHROMOSOMAL ANOMALIES VERSUS SIZE

 

 

Longitudinal bladder diameter (mm)

 

7-15

>15

Abnormal karyotype

23.6%

·         mainly trisomy 13 + 18

·         less commonly trisomy 21

·         75% had increased nuchal translucency

11.4%

Normal karyotype with follow up:

Increased nuchal translucency in 30% with normal karyotype

 

      *  Spontaneous resolution

89.9%

0%

      *  Obstructive uropathy

10.1%

100%

Trisomy 18 – Megacystis 9 mm at 12 weeks of gestation

 

 

REFERENCES

 

 

1. Liao AW, Sebire NJ, Geerts L et.al. Megacystis at 10-14 weeks of gestation:chromosomal defects and outcome according to bladder size. Ultrasound Obstet Gynecol 2003;21:338-341.